| 
Download the catalog
产品特点: ·极高性价比 ·图像清晰细腻 ·多变频探头 ·图像存储功能 ·电影回放功能 ·B、2B、B/M、4B显示模式 ·7英寸无闪烁高清晰显示器


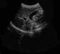
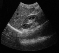
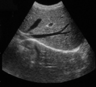
高清晰图像:


主要功能:
扫描方式: 电子凸阵扫描。
探 头: 3.5MHz电子凸阵。
显示模式: B型、B/B型、4B型、B+M型、M型。
显示尺寸:7寸黑白显示。
图像倍率: B型 ×0.8、×1.0、×1.2、×1.5、×1.8、×2.0,×1.8、×2.0时,通过深度移动键可移动显示。
M型速度:M型扫描有8种速度可选。
中英文转换:界面可进行中英文转换。
局部放大:局部×2.0倍率放大。
动态范围:64~96dB可调。
图像灰阶: 256级。
变 频: 具有多种变频接收。
聚 焦:一、二、三、四多段动态电子聚焦可选。
测 量:距离、周长、面积、心率、孕周(Cattle: BPD, CRL, TD; Horse: GA; Dog: GS; Cat: HD, BD; Sheep: BPD, CRL, TD)及预产期、胎重等。
注释功能:姓名、病历编号、性别、年龄、实时时钟;16种带有探头位置的体位标记;全屏幕字符注释等。
增益控制:总增益、近场、远场8段TGC、总增益连续可调。
图像极性: 左/右翻转、黑/白翻转、上下翻转。
永久存储:128幅。
图像回放:256幅。
前处理:可变孔径、动态变迹、动态滤波等。
后处理:数字时空滤波、勾边增强、γ校正、伪彩处理、帧相关、点线相关、线性内插等。
输出接口: 标准PAL、SVGA制视频输出,可扩展USB接口。
扩展功能:可配接多种探头。
主要技术指标:
探头: 80阵元 R60。
探头标称频率: 3.5MHz。
探测深度: ≥180mm。
横向分辨率: ≤2mm(深度≤80mm), ≤3mm(80<深度≤130mm)。
纵向分辨率: ≤1mm(深度≤80mm),≤2mm(80<深度≤130mm)。
盲区:≤4mm。
几何位置精度:横向≤5%。,纵向≤5%。
显示器:7彩色液晶显示屏。
灰阶:256级。
电源范围:AC 220V±22V 50Hz。
输入功率:≤110VA。
电池工作时间:≥3h。
标准配置: 主机 1台 3.5MHz多变频凸阵探头(可改选用其他型号的探头) 1只
选配件: 线阵、小凸阵、腔内等各种探头 USB接口和功能
|